TRIBUNTRAVEL.COM - Seorang remaja berusia 18 tahun di Faridabad, India, meninggal karena kasus langka yang melibatkan cacing pita yang bertelur di dalam otaknya.
Remaja itu pertama kali dibawa ke ruang gawat darurat sebuah rumah sakit karena mengalami kejang, menurut sebuah studi kasus yang dirilis oleh The New England Journal of Medicine, Kamis.
Saat ditanya gejala yang dialami, orang tua remaja itu memberi tahu dokter bahwa putranya menderita sakit di pangkal paha selama seminggu.
Ketika dibawa ke rumah sakit untuk pemeriksaan fisik, pasien bingung dan mengalami pembengkakan di mata kanan dan di testis kanan.
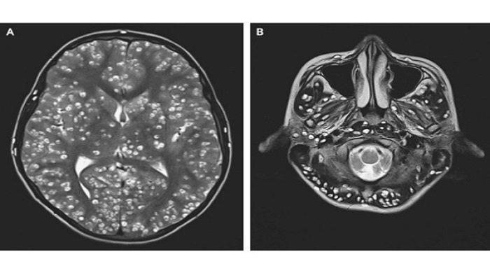
Setelah dilakukan magnetic resonance imaging (MRI), diketahui remaja ini memiliki banyak lesi kistik yang terlihat sangat jelas di seluruh otaknya.

Lesi (jaringan abnormal pada tubuh) ini mirip dengan neurocysticercosis, yang didefinisikan oleh Organisasi Kesehatan Dunia sebagai "infeksi parasit pada sistem saraf pusat dan disebabkan oleh cacing pita babi Taenia solium."
Manusia bisa terinfeksi oleh cacing pita biasanya setelah makan makanan yang kurang matang, terutama daging babi.
Bisa juga karena minum air yang terkontaminasi dengan telur cacing pita.
Dilansir AsiaOne, Minggu (31/3/2019), hasil pemeriksaan juga menunjukkan bahwa remaja tersebut memiliki kista yang jelas pada ultrasonografi mata yang terinfeksi dan testis kanan.
Pengobatan dengan obat antiparasit tidak direkomendasikan pada kasus remaja India karena dapat memperburuk peradangan dan edema serebral.

Karena remaja ini memiliki lesi di mata, perawatan dengan obat-obatan tersebut juga dapat menyebabkan hilangnya penglihatan.
Meskipun telah dirawat dengan deksametason dan obat antiepilepsi, remaja asal India ini akhirnya meninggal di rumah sakit dua minggu kemudian.
Ini bukan pertama kalinya cacing pita ditemukan bersarang di otak manusia.
Pada bulan September 2018, dokter juga melepaskan cacing pita berukuran 10 sentimeter langsung dari otak pria China yang menderita penyakit epilepsi.
TribunTravel.com/rizky tyas febriani