Breaking News:

Berita Menarik

Lihat Foto MRI Anak di Kandungan, Pasangan Ini Malah Tertawa Ngakak! Lha Kok Mirip. . .

Pasangan ini tak henti tertawa saat menyadari foto anak mereka ketika berusia 30 minggu dalam kandungan mirip satu karakter film.

Editor: Sri Juliati
Mercury Press
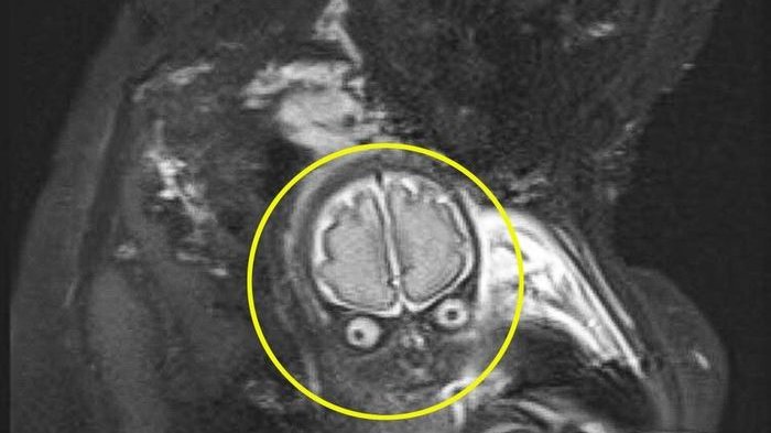
Lucas saat dilakukan pemindaian MRI di usia kandungannya 30 minggu. 

TRIBUNTRAVEL.COM - Pasangan Laura Thomas dan Matthew Tansley, tak henti tertawa saat menyadari foto anak mereka ketika berusia 30 minggu dalam kandungan mirip satu karakter film.

Hasil pemindaian MRI menunjukkan wajah si kecil Lucas, tampak marah dan melotot ke kamera dengan matanya yang besar dan garis luar otaknya terlihat jelas.

Itu tampak sangat mirip dengan karakter alien dalam film yang dirilis tahun 1996.

Foto tersebut juga memberikan gambaran yang dibutuhkan pasangan ini ketika dokter yang menangani menemukan cairan berlebih di otak Lucas.


Foto MRI anak Laura mirip alien dalam film.
Foto MRI anak Laura mirip alien dalam film. (Mercury Press/The Sun)

Pemindaian MRI ini dilakukan pada Februari 2017.

Laura yang berusia 26 tahun baru membagikan foto scan MRI putranya setelah dokter menyatakan, dirinya telah sehat 11 bulan kemudian.

Laura baru saja menjalani tes darah terakhirnya awal tahun 2018 ini.

"Pada saat itu adalah pengalaman yang sangat menegangkan, saya sangat lega ketika dokter melihat hasil scan dan mengatakan semuanya tampak baik-baik saja," kata ibu tiga anak itu.


Tokoh Martian dalam film Mars Atack.
Tokoh Martian dalam film Mars Atack. (Mercury Press)

“Kemudian ketika kami melihat gambar itu, saya berpikir, 'Dia tidak terlihat terlalu senang' dan tertawa terbahak-bahak."

“Ketika kami melihat hail pemindaian itu, yang bisa saya lihat hanyalah matanya, itu tampak seperti dia sedang dirasuki."

2 dari 2 halaman

"Ayahnya langsung melihat kemiripan anaknya dengan tokoh Martian dalam film Mars Atack."

Mars Atack adalah komedi sci-fi Amerika dimana menceritakan orang-orang mars yang menyerbu bumi.


Laura dan Lucas.
Laura dan Lucas. (Mercury Press)

Laura telah melakukan pemindaian MRI sebanyak tiga kali selama kehamilannya karena dia diagnosis berisiko tinggi terkena pre-eklampsia.

Pre-eklampsia adalah sindrom yang ditandai dengan tekanan darah tinggi, kenaikan kadar protein di dalam urin (proteinuria), dan pembengkakan pada tungkai (edema).

Meskipun begitu, Lucas lahir dan tumbuh seperti anak kecil pada umumnya, bahagia dan ceria.

Namun, kadang-kadang ayah dan ibu tersebut sekilas melihat tatapan marah seperti dalam foto MRI ketika hal-hal terjadi tidak sesuai keinginan Lucas.

Artikel ini telah tayang di intisari.grid.id dengan judul Bukannya Kaget, Pasangan Ini Justru Terpingkal-pingkal Setelah Melihat Foto MRI Anaknya

Selanjutnya
Sumber: Grid.ID
Tags:
Laura ThomasMatthew Tansley
BeritaTerkait
AA

Berita Terkini

© 2025 TRIBUNnews.com Network,a subsidiary of KG Media.
All Right Reserved